Invisalign Full (Comprehensive)
This treatment is to address complex orthodontic cases where the patients require over 14 Invisalign aligners over 12 to 18 months.
This month special offer, £299 home teeth whitening instead of £399
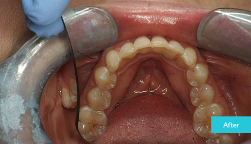
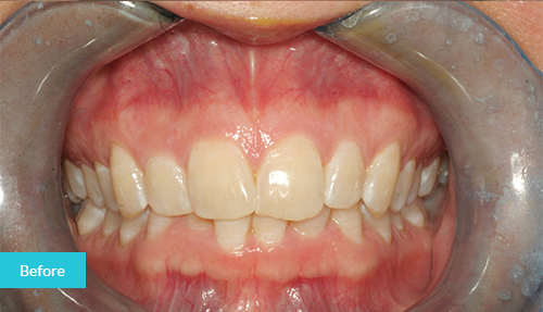
Straighten Your Teeth and Smile With Invisible Braces
Invisalign is an exceptional solution for straightening the smiles of millions. Since its launch, Invisalign has brought about remarkable transformations in teeth alignment. It’s time to say goodbye to fixed wires and brackets because Invisalign presents clear and removable aligners which apply gentle pressure on your teeth, causing them to gradually move into the desired position. Get a convenient and comfortable look with our virtually invisible aligners!
Adult Braces London stands as one of the leading Invisalign providers in and around London. Our expert team is reputed for straightening thousand smiles. Not every provider is ready to handle complex dental cases, so you can see our top orthodontists for a complimentary second opinion. Contact us to inquire about our special offers on Invisalign braces delivered by a friendly team.
Call Now: 020 31373179
Invisalign is a custom-made clear aligner that is changed, progressively, every two weeks for a period of six to eighteen months or longer depending on the severity of your tooth misalignment. Quite similar to dental retainers that have been made to keep teeth from moving out of place, Invisalign® aligners are used for orthodontic treatment to shift and align teeth properly for a beautiful smile. This clear aligner is usually made from an impression or scan of the patient’s teeth taken by the Invisalign dentist in London. Fitting is unique to meet the need of each patient.
Invisalign starts from
£1500 to £5500
Book now and get £1000 OFF
We use 3D imaging technology to give you a preview of the final result of your teeth after using aligners. You can see a pixel-perfect image of how your teeth will look after the Invisalign treatment, helping you feel confident about your new smile.
Invisalign offers the first-ever aligner with a discreet appearance. When it comes to invisible orthodontic treatment, Invisalign has remained the market leader over the years.
While traditional braces rely on wires and brackets fixed to your teeth, Invisalign uses single plastic aligners to give you an innovative and elegant look. This eliminates the discomfort and inconvenience of constantly wearing metal wires.
Orthodontists typically recommend wearing Invisalign aligners for at least 20 to 22 hours a day. However, you can easily remove them while eating, drinking, or brushing.
While traditional braces require avoiding hard or sticky foods like red meat, which can get stuck in the brackets, Invisalign users face no such dietary restrictions.
You can get the following Invisalign treatment at our clinic:


The procedure works with a series of clear aligners placed around the teeth, with each of them customised to meet the exact specifications of the individual. Each aligner needs to be worn for at least 7 to 14 days before moving onto the next set of aligners in the series. Your invisalign dentist will discuss in detail with you once the treatment progresses ahead. This is a planned procedure that will shift your teeth gradually till they get to the desired position. We keep a keen eye on the progress of the treatment to ensure everything is moving correctly and in the right direction.
You will have to wear these clear aligners for 20 to 22 hours a day to get the best possible results. You can remove them for eating, drinking brushing and flossing. This means you can enjoy eating your favourite foods and drinks during the treatment and maintain excellent oral hygiene.
Treatment with Invisalign takes around 12 to 18 months, on average but this will vary from one person to the other. At the initial consultation, your Invisalign provider will suggest the right kind of clear aligners and then decide how long treatment will take. If you are looking for a customised treatment procedure, get in touch with our dentists at Adult Braces Clinic.
Call Now: 020 31373179Our orthodontist will discuss how you feel about your current smile and provide a preview of the smile you'll achieve after the treatment.
We conduct a thorough assessment of your oral health to ensure you are suitable for Invisalign treatment.
You will need to change your aligners to a new set every 1 to 2 weeks. During this time, you will notice the gradual progression of your teeth straightening.
It is our pleasure to see you complete the treatment with a beautiful new smile. Be sure to take proper care of your teeth to maintain your results for a lifetime.
You will begin your Invisalign journey by receiving your first set of customised aligners, which will immediately start to straighten your teeth.
It may take 2 to 3 days to adjust to your new oral health routine. You will need to remove your aligners while eating or brushing, and clip them back in once you’re done.
Around day 8, you will need to change your aligners for the first time. Remove the old aligner, brush your teeth thoroughly, and then insert the new one. You’re already two weeks closer to achieving beautifully straight teeth.
After several weeks, you’ll begin to notice the gradual straightening of your teeth. By this stage, you will see your teeth moving closer to their desired position.
Once you’ve achieved your desired teeth alignment, you can stop using your aligners and enjoy your new, straight smile. In most cases, this is achieved within months, although the treatment duration may vary depending on the individual.
We invite you to Adult Braces London to get our Invisalign consultation. Book us fast to get exceptional straight teeth with top orthodontists and explore how Invisalign changes your life!
Call Now: 020 31373179The costs of Invisalign treatment range around £1900 up to about £4650. These charges vary according to the duration of the treatment and the complexity of the case.
Adult Braces London is offering Special Offers on Invisalign Braces for limited time.
Currently we are offering £1000 off on Invisalign braces with us.
*The introductory offer of £1000 is applicable to the prices above
Adult Braces London is offering special discount of £1000 on all Invisalign treatments. You can easily afford these treatment options with our broad range of finance options all at 0% rate of interest.
Call Now: 020 31373179














Invisalign can help in treating various mild to moderate orthodontic problems. You need to find out if Invisalign is the right option for your case during the initial consultation. Your dentist will discuss all the options so that you can make an informed decision about the most suitable treatment for you.
The short answer is yes and the purpose of wearing braces is to provide you with straighter teeth throughout your life but you need to wear your retainers to keep your teeth in its right place.
Your teeth will or can move back to their original position in case you do not wear a retainer after the treatment.
Your Invisalign aligners might become yellow due to – not brushing properly before wearing the braces inside your mouth and drinking tea, coffee, wine, juice or colored sodas.
You need to take out the aligners at the time of eating and drinking, Brush teeth before you decide to put them back in for 20 to 22 hours a day for the best possible results.
AcceleDent is a suitable option to speed up your Invisalign treatment. AcceleDent is a system which shifts your teeth in the most efficient way so that you may switch into the next set of aligners quickly. Switching to a new set of aligners will help in teeth straightening and thus, increasing overall speed of your treatment.
Yes, you can remove your aligners at the time of eating, drinking, brushing, and flossing.
It is suggested that you use an antimicrobial mouthwash when wearing your braces as the aligners can increase bacterial activities inside your mouth. Once you clean your teeth and Invisalign aligners, you can put them back again in the mouth.
Another suitable option is to use a toothbrush for cleaning the aligners properly in cold water with a clear and gentle liquid soap at least once in a day. You can even use an equal mixture of lukewarm tap water and white distilled vinegar to soak Invisalign trays for at least 15 to 30 minutes.
Invisalign aligners are extremely discreet which allows you to talk to your friends and family who won’t notice your braces.
Invisalign aligners are made of a durable material known as transparent polycrystalline alumina or TPA. Originally designed by NASA, TPA offers a comfortable and safe way to straighten your teeth.
You may have a slight lisp starting out, but this will go away after a few days once you get used to wearing your aligners.
Invisalign attachments are tooth-coloured ridges that we stick to your teeth to help them move freely.
You may get in touch with us and our Invisalign providers will offer a replacement for your lost aligners. You should wear your previous aligner right away or we may advise you to start with the next one.
Top of Form
Yes, you will be given with a fixed or removable retainer to wear and keep your teeth in proper position after the treatment.